When “Inoperable” Isn’t the End
- 3 days ago
- 1 min read
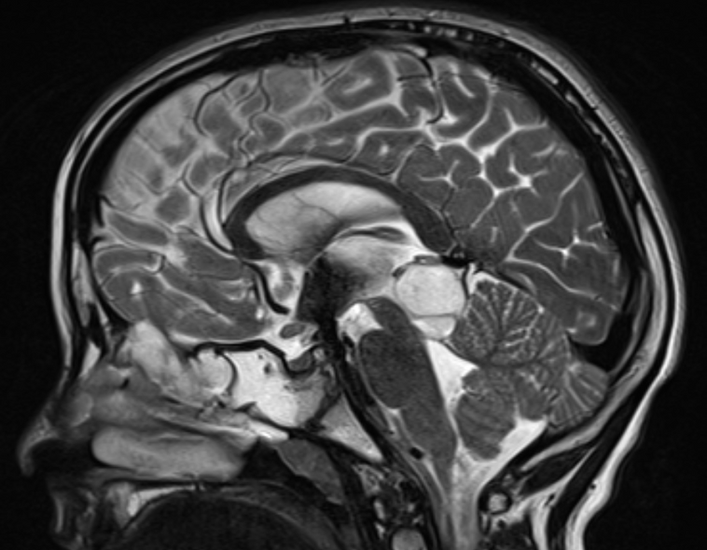
Muhammed is a remarkably brave nine-year-old refugee from Syria. After experiencing months of balance difficulties, followed by severe headaches and vomiting, he was diagnosed with a brainstem glioma located in the midbrain, one of the most delicate and critical areas of the brain.
His parents were devastated when they were told the tumour was inoperable and likely fatal within 12 months. Seeking hope, they requested a second opinion. Upon reviewing his case, I believed there was a possibility the tumour was benign and potentially operable. While I had experience treating similar tumours, I knew that Professor Charlie Teo had unparalleled expertise in this highly specialised area.
Not only did Charlie agree to assist with this extraordinarily high-risk surgery, he did so entirely at his own expense and without accepting any payment. The operation was a success. One of the observing neurosurgeons described it as watching the “Roger Federer” of neurosurgery in action.
Muhammed woke from surgery neurologically intact, and the benign tumour had been completely removed.
Markus Bittl, MDSenior Pediatric Neurosurgeon, Germany











