Charlie Teo AM, MBBS

Hope
In times of uncertainty, when it feels like there’s nowhere else to turn, hope can be a powerful guiding light. It reminds us that even in the darkest moments, possibilities still exist and new paths can emerge. It is not merely an emotional response, but a fundamental expression of the human spirit, a testament to our refusal to surrender in the face of despair. Hope does not deny suffering, rather, it transforms it, allowing the possibility that something valuable may still emerge: relief from pain, an enhanced quality of life, or simply more time. The case reports that follow are not just clinical narratives, they are reflections of this enduring human impulse to seek light, even when reason suggests there is none.
Declared Inoperable, Sent Home to Die — But Their Stories Didn't End There
Testimonials

Alex Dunkley
“He was very kind and compassionate when he explained my situation.
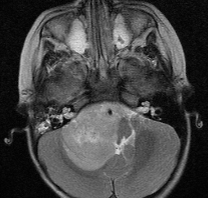
…he was truthful in telling me that it was a very large tumour and there were risks associated with removing it. In particular to my speech. He was confident he could get it all out. He gave me all the options for my surgery. It was up to me to choose. He said that if I were his daughter he would take it all out as he believed the best results come from a really good resection.
This is the most wonderful thing about Charlie. You are a real person and he is passionately devoted to doing his utmost to save your life.
He forms a relationship with you and truly cares about you. You are never just another operation.”

Annie Murtagh-Monks
“Daniel was paralysed by a biopsy performed by a Perth neurosurgeon in 2000 and has been hemiplegic ever since. That neurosurgeon told us Daniel’s tumour was inoperable. Thankfully we took him to Charlie for a second opinion and Charlie operated removing 98% of his tumour which has been dormant ever since. The care and compassion and expertise that Charlie provided was exceptional and we are forever grateful for his willingness and above all, superior skill used to remove Daniel’s tumour.”

Conor Cockerton
"(Dr Teo) said if we could get a public hospital to send an invitation (he) could do the operation earlier anywhere in Australia. We wrote to public hospitals in Sydney, Melbourne, Perth, Bundaberg, Brisbane, and Townsville, all the hospitals declined.
Dr X from Qld said “Dr Teo takes too higher risks, and he would not let him operate on his own children. How can a compassionate man justify charging so much, he makes people do GoFundMe pages to raise funds. After his operations, he sends his patients back into the public system and we have to clean up his mess.”
It was a frustrating time being given different opinions, but I always felt (Dr Teo) had the most experience for me to put my trust in. And I made the right decision.
Thank you again for giving me my life back when others refused."





![Preop[12] copy JS.jpg](https://static.wixstatic.com/media/d30d09_ce45c2e169be4c089309fb2a5012f36d~mv2.jpg/v1/fill/w_423,h_402,al_c,q_80,usm_0.66_1.00_0.01,enc_avif,quality_auto/Preop%5B12%5D%20copy%20JS.jpg)
